母指CM関節症
(説明動画 )
親指の付け根(母指CM関節)の軟骨がすり減り、痛みや変形を生じます。
こんな症状はありませんか?
![]()
- 親指の付け根が痛い
- つまむ/ひねる動作で痛い
- ペットボトルの蓋を開ける・鍵を回す・ボタンをとめる、等の動作がつらい
- 親指の付け根の変形(出っ張り)が気になる
原因・背景
- 加齢
- 女性に多い
- 関節のゆるみ
- 手の使い過ぎ
- 外傷後
診断
問診・診察に加えて、必要に応じて以下を行います。
- X線(レントゲン)検査:変形・関節症の評価
- 超音波(エコー)検査:関節炎の評価(必要に応じて)
- MRI/CT検査:病変の詳細評価(必要に応じて)
![]()
正常な母指CM関節
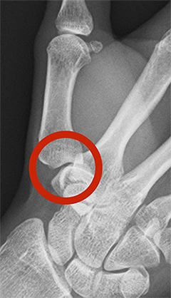
![]()
軟骨が減り、変形している母指CM関節
治療
■保存療法(手術をしない治療)
- 装具(軟性、硬性)
- 内服・外用薬
- 関節内注射(症状に応じて)
- 生活動作の工夫(補助具)
■手術療法
母指CM関節症のステージ、母指の使用状況などを踏まえて術式を決定します。
![]()
”病期” “年齢” “生活スタイル” に合わせた術式
- 関節包縫縮術
初期の方を対象に、弛んだ関節包を縫い縮めて関節の安定性を増すことで疼痛の軽減を期待する術式です。 - 関節形成術
傷んだ骨・軟骨を削り、そこに手首の腱を用いて靱帯構造を再建し、余った腱をクッションとして挿入する術式です。母指CM関節の動きが保たれるのが特徴です。
関節形成術
- 関節固定術
傷んだ骨・軟骨を削り、適度な角度で金属を用いて関節を固める手術です。CM関節自体は動かなくなりますが、関節形成術よりも安定感があると言われ、親指への負担が著しい仕事をされている方、変形が強い方に選択されることがあります。 - 母指変形が強い場合は、上記手術に加えて母指MP関節への処置が必要となることがあります。
当センターでの治療の特徴
- 手外科専門医が、診断、ステージ(病期)を判断し、治療選択肢を分かりやすく説明
- 手術は日帰りで行える場合もありますが、症状や手術内容、術後経
過の見込みなどをふまえ、医師が総合的に判断します。(症例により短期入院) - 術後はハンドセラピーと連携し、早期機能回復を支援
リハビリ・日常生活の注意
- 装具療法と可動域訓練
- つまみ動作の再学習
- 疼痛コントロールと日常生活指導
よくあるご質問(FAQ)
Q.どのくらいで良くなりますか?
A.病状・治療法により異なります。初診時に目安をご説明します。病期が進むほど、多少の痛みや変形が残存する可能性があります。
Q.手術が必要かどうか不安です
A.保存療法と手術の利点・欠点を比較し、一緒に方針を決めます。
Q.どの手術が良いかわかりません
A.手術ごとに可能なタイミングが異なり、治療後の経過が異なります。よく相談して一緒に決めましょう。
Q.仕事やスポーツはいつ再開できますか?
A.生活背景に合わせて段階的な復帰計画を立てます。
Q.どのくらいで良くなりますか?
A.病状・治療法により異なります。初診時に目安をご説明します。病期が進むほど、多少の痛みや変形が残存する可能性があります。
Q.手術が必要かどうか不安です
A.保存療法と手術の利点・欠点を比較し、一緒に方針を決めます。
Q.どの手術が良いかわかりません
A.手術ごとに可能なタイミングが異なり、治療後の経過が異なります。よく相談して一緒に決めましょう。
Q.仕事やスポーツはいつ再開できますか?
A.生活背景に合わせて段階的な復帰計画を立てます。








