橈骨遠位端骨折
(橈骨遠位端骨折など/説明動画 )
手首の親指側にある骨(橈骨)の骨折です。多くは転倒して手をついた際に起こり、活動量の多い若年者と、骨が脆くなってきている更年期以降の女性と高齢者に多く生じます。転位(骨のずれ)の程度や、関節内骨折(関節の中まで骨折が及ぶもの)の評価が重要です。
当初は保存的に治療が可能な骨折でも、経過中にずれてしまい変形(転位)が悪化することもあります。変形したまま骨がついてしまう変形治癒骨折(説明動画)となってしまい、症状が残ってお困りの際にも、是非お気軽にご相談ください。
こんな症状はありませんか?
- 転倒後に手首が腫れて痛い
- 手首が変形している

原因・背景
- 転倒
- 骨粗鬆症
- スポーツ外傷
- 交通事故
診断
問診・診察に加えて、必要に応じて以下を行います。
- X線(レントゲン)検査:骨折・変形の評価
- 超音波(エコー)検査:骨折、神経、腱の評価(必要に応じて)
- CT/MRI:骨折の詳細評価、並びに合併損傷の検索
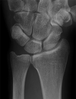
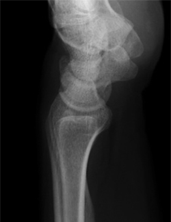
【正常な手関節X線像】

正面像

側面像
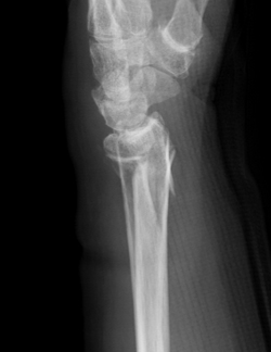
【橈骨遠位端骨折のX線像】

正面像

側面像
治療
■保存療法(手術をしない治療)
- 整復(骨の位置を戻す)とギプス固定を行います(転位が軽度の場合)。しっかりとした固定期間は6週間程度が一般的です。その後は骨癒合の程度により、かけられる負荷を少しずつあげていきます。
- 定期的にX線で再転位の有無などを確認していきます。
■手術療法
転位が大きい症例。特に関節内骨折で転位がある症例は手術が必要と判断されることが多くなります。
- 観血的整復内固定術
多くは手首掌側(手のひら側)からプレートを用いて固定します(写真1-3)。骨折型によっては、背側からのプレート固定、ピンなどによる経皮的(皮膚を貫通させての)固定、創外固定(身体の外からの器具による固定)を選択することもあります。小児の場合はピンによる固定のみで終了することが多いです。
- ※橈骨遠位端骨折にしばしば合併する尺骨茎状突起骨折(手首小指側の骨折)については、関節の不安定性などをもとに固定をするかどうかを決定します。
当センターでの治療の特徴
- 手外科専門医が骨折型を評価し、治療選択肢を分かりやすく説明します。
- 骨折型に合わせて適切なプレートを選択し固定します(写真1-3)。
- 手術は日帰りで行える場合もありますが、症状や手術内容、術後経過の見込みなどをふまえ、医師が総合的に判断します(症例により短期入院)。
- 変形治癒骨折の矯正骨切り術も実施しています。
- ハンドセラピーと連携し、術後の早期機能回復を支援します。
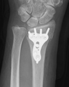
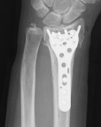
【骨折型に応じた各種プレート固定】

写真1

写真2

写真3
写真1:比較的シンプルな骨折に対する短いプレート固定
写真2:関節面の粉砕骨折に対する関節面固定に重点をおいたプレート固定
写真3:関節面、さらには長い骨折線をもつ骨折に対する長めのプレート固定
リハビリ・日常生活の注意
- 早期からの手指運動が重要です(手首の骨折で、指が硬くなってしまうことを避けるため)。
- 保存治療、手術治療によらず、むくみ(浮腫)を少なくするために、怪我をした手はなるべく心臓よりも上にあるように気を付けましょう。
- リハビリでは、日常生活への早期復帰を目指します。
よくあるご質問(FAQ)
Q.どのくらいで良くなりますか?
A.病状(骨折型)・治療法により異なります。初診時に目安をご説明します。一般的には骨がつくまでは2か月前後かかりますが、その段階でどれくらい手を使えるかは、リハビリの進み具合などで異なります。
Q.手術が必要かどうか不安です
A.保存療法と手術の利点・欠点を比較し、一緒に方針を決めます。変形の程度、さらには年齢などを考慮して手術をした方が良いと思われるかを判断します。
Q.仕事やスポーツはいつ再開できますか?
A.生活背景に合わせて段階的な復帰計画を立てます。
受診の目安
- 変形が強い
- 治療後数ヶ月経過しても変形や腫れが残っている








